The Eminent Choice for Healthcare dnv gl logo DNV GL/NIAHO Accredited facility.

Trigeminal Neuralgia Treatment Richardson, TX

At Eminent Medical Center, we specialize in trigeminal neuralgia treatment in Richardson and Dallas, offering both medical and surgical treatments to reduce pain for this debilitating condition. Treating trigeminal neuralgia symptoms requires a comprehensive approach to provide effective pain relief for the severe facial pain often experienced. Our team of headache specialists and pain management specialists, focuses on innovative therapies to treat trigeminal neuralgia effectively. Given that many cases involve intense pain in the jaw and other areas of the face, our Headache and Migraine Center in Richardson and Dallas is equipped to deliver specialized care. We understand that women are more frequently affected, and we tailor our treatments to address the unique needs of each patient, ensuring the best possible outcomes.

At Eminent Medical Center in Richardson, TX, we understand the urgency of finding relief from trigeminal neuralgia. Our expert team specializes in advanced treatment options tailored to alleviate your pain and restore normalcy to your life. Don’t suffer in silence; take the first step towards relief by contacting us at 469-910-8800 today.

Trigeminal Neuralgia Symptoms

Trigeminal neuralgia, often called the “suicide disease” due to its severe pain, profoundly impacts individuals’ lives with symptoms like an electrical current through the regions supplied by the trigeminal nerve branches, affecting the jaw, teeth, and forehead. Women are more prone to this condition, experiencing heightened anxiety and sensitivity. The unpredictable nature of trigeminal neuralgia can disrupt daily activities, making eating, talking, or even gentle touch unbearable.

Pain can extend to the brain, which highlights the intricate relationship between the trigeminal nerve and cerebral blood vessels, and is often accompanied by a headache. This can complicate trigeminal neuralgia diagnosis and treatment. Consulting a doctor is crucial for personalized care, and treatment options include medication, microvascular decompression, and radiation therapy to manage trigeminal neuralgia symptoms.

If you’re experiencing symptoms of trigeminal neuralgia, don’t hesitate to reach out to Eminent Medical Center in Richardson, TX, at (469) 910-8800 for expert evaluation and compassionate care.

What Causes a Disruption of the Trigeminal Nerve?

A disruption of the trigeminal nerve, a critical sensory pathway responsible for facial sensation, can manifest in various conditions, among which trigeminal neuralgia stands as one of the most debilitating. Women, in particular, are disproportionately affected by this disorder, though the reasons for this discrepancy are still being elucidated. Multiple sclerosis (MS), a neurological condition characterized by damage to the protective covering of nerve fibers, often serves as a harbinger for trigeminal neuralgia. In MS, the immune system attacks the myelin sheath surrounding nerve fibers in the brain and spinal cord, leading to disruptions in nerve signals. Consequently, individuals with MS may experience abnormal sensations and excruciating facial pain, indicative of trigeminal neuralgia.

Beyond MS, other factors such as tumors or blood vessels pressing on the trigeminal nerve can precipitate trigeminal neuralgia. The compression resulting from these structural abnormalities can lead to the characteristic bouts of severe pain that define this condition. Microvascular decompression emerges as a cornerstone in the treatment of trigeminal neuralgia caused by vascular compression. This surgical intervention aims to alleviate pressure on the trigeminal nerve, restoring normal function and reducing pain. Moreover, abnormalities in the autonomic nervous system, responsible for regulating involuntary bodily functions, may contribute to trigeminal nerve disturbances, further complicating the diagnostic process.

Understanding the underlying cause of trigeminal nerve disruption is paramount for effective management and improving the quality of life for individuals grappling with trigeminal neuralgia. A precise diagnosis not only aids in determining the most appropriate treatment approach but also ensures that other potential conditions, such as movement disorders or cluster headaches, are promptly addressed. By delving into the intricate network of nerves within the skull and discerning the root cause of trigeminal nerve dysfunction, healthcare professionals can provide tailored treatment plans aimed at reducing pain and enhancing overall well-being.

If you’re experiencing symptoms of trigeminal neuralgia, seek evaluation and care from specialists like those at Eminent Medical Center in Richardson, TX, who can provide expert guidance and support in managing this challenging condition.

How is Trigeminal Neuralgia Diagnosed in Your Richardson and Dallas Treatment Center?

Diagnosing trigeminal neuralgia necessitates a thorough and multifaceted approach to discerning the underlying cause of the excruciating facial pain experienced by patients. While laboratory tests may not provide definitive confirmation, the hallmark of diagnosis lies in the patient’s detailed description of their symptoms. The severity and frequency of these pain episodes often drive individuals to seek medical attention, prompting specialized neurological assessments from doctors, particularly those with expertise in neurology. These healthcare professionals delve deep into understanding the nature of the discomfort, employing a combination of medical history review, meticulous physical examination, and specialized neurological assessments to arrive at an accurate determination.

During the physical examination, doctors meticulously scrutinize the areas affected by pain, searching for any signs of neuropathy or injury that may contribute to the patient’s symptoms. This comprehensive evaluation aims to determine the frequency, progression, and severity of the pain episodes, all of which are crucial factors in guiding treatment decisions. While imaging studies may not always be necessary, they can provide valuable insights by ruling out other potential causes of facial pain, such as tumors or migraines. By employing a holistic approach to resolution, healthcare professionals can effectively discern the underlying cause of trigeminal neuralgia and develop personalized treatment plans aimed at reducing pain and improving the quality of life for those who suffer from this debilitating condition.

Neurological Exam

In diagnosing trigeminal neuralgia, a neurological exam plays a pivotal role in discerning the nature and origin of the excruciating facial pain experienced by most patients. Doctors specializing in neurology conduct a thorough physical examination focusing on the areas affected by pain. By meticulously evaluating the patient’s description of pain, its frequency, progression, and severity, doctors can deduce patterns indicative of trigeminal neuralgia.

While laboratory tests may not directly confirm the condition, the neurological exam helps in ruling out other potential causes of facial pain, such as neuropathy or injury. Assessing the patient’s response to specific triggers or stimuli also aids in narrowing down the diagnosis. Through attentive listening, careful observation, and precise questioning, doctors aim to achieve an accurate determination and develop tailored treatment strategies to alleviate the impact of trigeminal neuralgia on suffering individuals.

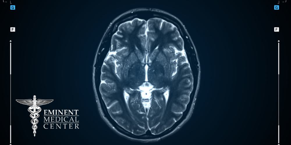
MRI

In diagnosing trigeminal neuralgia, while a physical exam and patient history often provide critical insights, advanced imaging techniques such as magnetic resonance imaging (MRI) play a significant role, particularly in cases where the determination is not straightforward. Most patients with trigeminal neuralgia undergo MRI scans to detect any structural abnormalities or underlying causes contributing to their symptoms. These scans help doctors rule out other conditions that may mimic trigeminal neuralgia, such as tumors or vascular compression of the trigeminal nerve.

By examining the brain and surrounding structures in detail, MRI scans assist in accurately diagnosing the condition and assessing the seriousness of nerve compression or any other potential contributing factors. With MRI’s ability to provide detailed images of the head and neural structures, doctors can better understand the frequency, advancement, and seriousness of trigeminal neuralgia, thereby guiding appropriate treatment strategies tailored to each patient’s specific needs.

trigeminal neuralgia causes

Medical and Surgical Treatments for Trigeminal Neuralgia Pain Relief in Richardson and Dallas, TX

Addressing the intense facial pain associated with trigeminal neuralgia often necessitates a multifaceted approach encompassing both medical and surgical interventions. While medication can offer some relief for many sufferers, those with severe or refractory symptoms may require more targeted treatments.

Surgical options such as microvascular decompression, stereotactic radiosurgery, and gamma-knife radiosurgery aim to alleviate pain by addressing compression or irritation of the trigeminal nerve branches.

Minimally invasive procedures like glycerol injections and radiofrequency thermal lesioning can provide significant pain relief by selectively targeting affected nerve fibers.

Additionally, exploring alternative therapies like acupuncture or lifestyle modifications may offer additional relief for some individuals. By seeking comprehensive care and exploring all available treatment options, patients can regain control over their lives and find hope in managing trigeminal neuralgia.

Glycerol Injections

Glycerol injections offer a minimally invasive yet effective method for alleviating the severe facial pain associated with trigeminal neuralgia. Administered as a part of neurosurgical procedures, glycerol injections target the trigeminal nerve branches, aiming to reduce pain by disrupting abnormal signals.

This procedure involves the careful insertion of glycerol into the region where the trigeminal nerve branches converge, typically under imaging guidance. Once injected, glycerol creates a temporary irritation or compression of the nerve fibers, disrupting their ability to transmit pain signals. This intervention is particularly beneficial for patients who may not be suitable candidates for more invasive procedures like microvascular decompression or stereotactic radiosurgery.

Glycerol injections offer a quick and relatively painless treatment option, with many patients experiencing significant pain relief shortly after the procedure. While the effects may not be permanent, glycerol injections can provide acute relief from trigeminal neuralgia pain, improving the quality of life for those who suffer from this debilitating condition.

Stereotactic Radiosurgery

Stereotactic radiosurgery stands as a potent treatment option for mitigating the relentless facial pain characteristic of trigeminal neuralgia. This innovative procedure precisely targets the trigeminal nerve branches with focused radiation beams, effectively disrupting the aberrant signals responsible for triggering pain.

Unlike traditional surgery, this treatment requires no incisions, minimizing the risks associated with invasive procedures. By delivering a highly concentrated dose of radiation to the affected nerve fibers, this method offers a non-invasive yet precise means of pain relief. Stereotactic radiosurgery, often delivered via technologies like gamma-knife radiosurgery, can provide long-lasting relief for many patients suffering from trigeminal neuralgia, reducing the need for medication and enhancing their overall quality of life. The full effects may take time to manifest, but this pain relief option represents a comprehensive approach to treating trigeminal neuralgia.

Radiofrequency Thermal Lesioning

Radiofrequency thermal lesioning emerges as a promising method to alleviate the agonizing facial pain associated with trigeminal neuralgia. This procedure involves applying localized heat to the trigeminal nerve branches using radiofrequency energy. By precisely targeting the affected nerves, radiofrequency thermal lesioning disrupts their ability to transmit pain signals, effectively reducing the intensity and frequency of pain episodes.

Unlike medications, which may offer only temporary relief, radiofrequency thermal lesioning can provide more sustained pain management for many patients. This minimally invasive procedure is often performed under local anesthesia, allowing for quicker recovery times compared to traditional surgery.

The effects may not be immediate, however, many individuals experience significant pain reduction following radiofrequency thermal lesioning, thereby improving their overall quality of life. As a result, radiofrequency thermal lesioning stands as a valuable method in the arsenal of treatments available for addressing trigeminal neuralgia and providing relief for those who suffer from its debilitating symptoms.

Gamma-Knife Radiosurgery

Gamma-knife radiosurgery is a powerful tool in the arsenal of treatments for alleviating the relentless facial pain associated with trigeminal neuralgia. This non-invasive procedure delivers highly focused radiation beams to the trigeminal nerve branches, precisely targeting the source of pain while sparing surrounding healthy tissue.

By delivering a potent dose of radiation to the affected nerve fibers, gamma-knife radiosurgery disrupts their ability to transmit pain signals, offering significant relief for many patients. Unlike traditional surgery, gamma-knife radiosurgery requires no incisions, minimizing the risks and complications associated with invasive procedures.

The full effects may take some time to manifest, but gamma-knife radiosurgery can provide long-lasting pain relief, reducing the need for medication and improving the overall quality of life for individuals suffering from trigeminal neuralgia. This advanced procedure represents a valuable option in the comprehensive approach to treating trigeminal neuralgia and offers hope for those who endure the debilitating effects of this condition.

Microvascular Decompression

Microvascular decompression (MVD) stands as a highly effective surgical intervention for providing lasting relief from the excruciating facial pain associated with trigeminal neuralgia. This procedure targets the root cause of the pain by addressing vascular compression of the trigeminal nerve branches, which often occurs at the brainstem.

During MVD, the surgeon carefully identifies and repositions blood vessels that may be pressing on the trigeminal nerve, thereby alleviating the compression and reducing pain signals. Unlike other treatments that focus on symptom management, MVD offers the potential for long-term pain relief, making it a preferred option for many patients.

While it is a more invasive procedure compared to non-surgical treatments, MVD can significantly improve the quality of life for individuals who suffer from trigeminal neuralgia. By addressing the underlying cause of the pain, MVD aims to provide enduring relief, minimizing the need for ongoing medication and offering hope for a better, pain-free future.

trigeminal neuralgia causes

When Should I See a Specialist for Trigeminal Neuralgia in Richardson or Dallas, TX?

Experiencing the agonizing symptoms of trigeminal neuralgia warrants prompt attention from a specialist, particularly if you find the severity of your facial pain interfering with your daily life. If you’re encountering severe, stabbing pain along the trigeminal nerve’s three branches, it’s crucial to seek medical intervention to address the underlying cause. Whether trigeminal neuralgia stems from conditions like multiple sclerosis, nerve compression due to tumors, or vascular abnormalities in the brain, a specialist can provide tailored treatment to alleviate your symptoms and improve your quality of life.

Moreover, if you notice additional symptoms alongside facial pain, such as neuropathy, headaches, or seizures, it’s imperative to consult with a specialist promptly. These accompanying symptoms may indicate underlying complications that require expert evaluation and management. By seeking timely medical attention, you can receive an accurate diagnosis and access appropriate treatment modalities to address your trigeminal neuralgia effectively, enhancing your overall well-being and minimizing the impact of the condition on your daily activities.

Trigeminal Neuralgia Center in Richardson, TX

Don’t let trigeminal neuralgia dictate your life; take the first step towards relief by consulting with the specialists at Eminent Medical Center in Richardson, TX. Our expert team is dedicated to providing compassionate care and personalized treatment plans to address your trigeminal neuralgia symptoms effectively. Contact us at (469) 910-8800 to schedule a consultation and embark on the journey towards a pain-free life.